
Причины развития коллапса трахеи у собак
Коллапс трахеи отличается от других заболевания своей хронической формой. Он заключается в сильной деформации дыхательных покровов. Во время такой болезни происходит сильное сужение пространства трубки самой трахеи. С-образные кольца хрящей и трубки сильно сплющиваются, в то время как ткани становятся дряблыми. Износ в хрящах может происходить по разным причинам.
Предпосылки для развития состояния трахеального коллапса у собак до конца установлены не были. Специалисты говорят, что такая патология способна развиваться и самостоятельно, и на фоне других болезней.
Первичная форма заболевания в большинстве случаев обосновывается генетикой. Предрасположенность может проявляться лишь у питомца определённой породы, нередко её можно установить уже в щенячьем возрасте. Врождённый дефект может проявляться в виде изначально мягких хрящей трахеальных колец.
Как вторичная болезнь коллапс может возникать в виде особого осложнения поражения дыхательной системы питомца, сердечной недостаточности, а также нарушений в процессе кровообращения. Часто фоном для этого служит воспаление верхних и нижних отделов как гортани, так и лёгких.

Все вышеописанные факторы могут развить в тканях острый дефицит гликозаминов и гликопротеинов. Во время низкого уровня таких веществ кольца теряют свою правильную форму, а также становятся в несколько раз короче. Дыхательный просвет значительно сужается, его сопротивление весу тела возрастает. Мембрана трахеи начинает постоянно двигаться: во время передвижения хряща в грудной полости она выпячивается, при движении хряща в шейном отделе — втягивается при совершении вдоха. Колебания провоцируют полную непроходимость, раздражают слизистые оболочки организма, а также ещё сильнее развивают воспаление.
Врачи ветеринарной медицины отмечают, что пролапс трахеи и коллапс являются распространенными заболеваниями у собак, особенно у мелких пород. Симптомы включают кашель, затрудненное дыхание и хрипы, что может вызывать беспокойство у владельцев. Важно своевременно обратиться к специалисту для диагностики, так как эти состояния могут прогрессировать. Лечение варьируется в зависимости от степени тяжести: в легких случаях может быть достаточно медикаментозной терапии, в то время как в более серьезных случаях может потребоваться хирургическое вмешательство. Врачи подчеркивают, что профилактика, включая контроль веса и избегание чрезмерной физической нагрузки, играет ключевую роль в управлении состоянием. Регулярные осмотры у ветеринара помогут выявить проблему на ранних стадиях и улучшить качество жизни питомца.
Частота заболеваемости среди различных пород
Ветеринарная практика свидетельствует о том, что небольшие породы, которые проживают в квартире, чаще всего страдают от коллапса трахеи. Такие собачки очень часто имеют в дополнение к этому ожирение, а лишние килограммы оказывают сильное давление на трахею и всё бронхиальное дерево, разрушая их нормальное состояние.
Диагноз ставится регулярно представителям следующих пород:
- чихуахуа,
- карликовый пудель,
- шпиц,
- той,
- пекинес,
- йоркширский терьер.
Владельцам этих маленьких пород советуют особенно тщательно следить за рационом и активным образом жизни своего питомца.
У кого чаще развивается коллапс

Если говорить о возрасте животного, то риска развития патологии возрастает к шести-семи годам. В это же время у собаки сильнее всего проявляется симптоматика при генетической предрасположенности к заболеванию в трахее.
Стоит отметить, что здоровых особей, которые ведут активный образ жизни и питаются в соответствии с нормами кормления, данный недуг поражает намного реже, чем представителей домашних пород с недостаточным уровнем движения и закормленных своими хозяевами.

Пролапс трахеи и коллапс трахеи у собак — это серьезные заболевания, которые вызывают беспокойство у владельцев домашних животных. Симптомы могут варьироваться от легкого кашля до затрудненного дыхания и даже синевы слизистых оболочек. Многие владельцы отмечают, что их питомцы начинают чаще кашлять, особенно при физической нагрузке или волнении. Лечение может включать как консервативные методы, такие как изменение рациона и применение противовоспалительных препаратов, так и хирургическое вмешательство в более тяжелых случаях. Важно своевременно обратиться к ветеринару для диагностики и выбора оптимального метода лечения, так как игнорирование симптомов может привести к ухудшению состояния собаки. Владельцы делятся опытом, что ранняя диагностика и правильное лечение значительно улучшают качество жизни их четвероногих друзей.
Степени тяжести болезни
Как осуществить лечение коллапса, будет зависеть от тяжести протекания заболевания. Разделение стадий болезни будет распределено по массовости и расположению дефекта хрящей.
- Первая степень. Происходит умеренное провисание мембраны, сужаются трахеальные просветы не больше чем на четверть. В это время кольца ещё продолжают функционировать нормально.
- Вторая стадия. Развитие сильного провисания оболочки мембраны. Сужение трахеи происходит наполовину. Кольца заметно уплотняются.
- Третья стадия. Мембрана начинает провисать до уровня самих хрящевых колец. Сами же кольца в это время имеют спущенную форму. Пространство для дыхания сужено наполовину, а иногда и больше.
- Четвёртая стадия. Мембрана полностью лежит на хрящевых кольцах. Кольца плоской формы, могут даже выворачиваться в другую сторону. Просвет почти не проглядывается.
Симптомы заболевания

Начальным симптомом считается частый и надрывный кашель собаки. Он начинает заметно усиливаться во время механического воздействия на область рядом с трахеей (к примеру, натяжение поводка во время прогулок с питомцем), а также при повышенных физических нагрузках. Во время развития стадии болезненности кашель приобретает более тяжёлую форму, мешает собаке полноценно дышать.
К клинической симптоматике в этом случае также будут относиться:
- Хрипы с влажным бульканьем;
- Частая одышка собаки;
- Развитие приступов удушья;
- Сильное посинение кожи и слизистых;
- Питомец начинает за короткое время сильно уставать, проявляется вялость вплоть до потери сознания.
Симптоматика начинает лишь возрастать во время развития стадийности болезни.
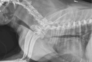
Методы диагностики

Так как клиническая симптоматика может развиваться в единичных случаях, а в основном слабо либо долгое время вовсе не показывать себя, то подтверждение диагноза «коллапс трахеи» всегда требует осуществления более тщательного осмотра с использованием нового оборудования.
Для начала стоит провести пальпацию трахеи собаки. Если болезнь всё-таки имеется, то форма трахеи очень сильно деформирована — на стенке в это время образуется жёлоб либо же сильное уплотнение.

Диагностика у животного может быть затруднённой. Держать питомца на одном месте и поймать время его вдоха-выдоха в большинстве случаев очень сложно. В некоторых случаях собака нуждается во введении успокоительного средства и бариевой кашицы, лишь таким способом она приходит в себя и становится спокойнее. Иногда осуществляют забор ткани трахеи для определения возбудителя болезни и анализа крови на чувствительность к препаратам-антибиотикам.

Коллапс трахеи у собак: лечение
Лечение трахеи у собак будет зависеть от стадии протекания заболевания. На второй и первой стадии можно бороться с заболеванием консервативным способом. На более поздней стадии в ход уже идёт операция. Народные рецепты во время такой болезни не будут эффективными, а, напротив, нанесут ощутимый вред.
Даже самые минимальные симптомы проявления болезни требуют своевременной помощи врача-ветеринара, который поможет подобрать качественную терапию. Во время любого метода лечения в обязательном порядке животному будет назначено особое диетическое питание, замена ошейника на шлейку, регулярные проветривания и установка в помещении, где большую часть времени проводит питомец, специального увлажнителя воздуха.
Процесс медикаментозного лечения собаки
Основное консервативное лечение — это использование препаратов определённой группы. Если главные причины кроются в другой болезни, то стоит обязательно назначить лекарственные медикаменты по их устранению (противовирусные, сердечные, антибиотики, противовоспалительные и другие).
Интенсивность дыхания и состояния тканей будет регулироваться в основном гормонами глюкокортикоидами. Также стоит использовать противокашлевые препараты, бронходилататоры, так как снять приступы коллапса трахеи с удушьем без них просто никак.

Хирургическое лечение животного
Во время оперативного вмешательства врач корректирует просвет в трахее с последующим общим восстановлением. Операцию стоит делать, когда мембрана очень сильно провисла, хрящи в это время почти не сохраняют свою форму, а угроза жизни питомцу превышает риски развития осложнений после операции.
Операция может происходить двумя методами:
Вживление имплантата — заменяется повреждённая область, при этом повторяется её анатомическая форма. Имплантат осуществляет поддержку нормального давления, но может повлечь за собой процесс отслаивания основного материала.
- Стентирование — установка стента из сетки-рабицы с просветами в область сильного сужения трахеи. С их помощью сохраняется проходимость воздуха. Такая методика считается наиболее безопасной для организма.
Первоначальная цель лечащего ветеринара во время проведения операции — это облегчить жизнь собаке и максимально замедлить процесс развития заболевания.
Стоит помнить, что коллапс трахеи считается полностью неизлечимой болезнью. Лекарственные средства могут лишь на некоторое время отсрочить либо предотвратить переход болезни к более острой стадии, но не устраняют саму болезнь полностью.
Операция включает в себя более радикальное воздействие с заменой повреждённой области трахеи, что может дать наиболее эффективный результат. Чаще всего медикаменты применяются именно для общего поддержания состояния и после хирургического вмешательства в организм питомца.

Прохождение курса приёма лекарства
Различные группы лекарств стоит назначать на основе симптомов с индивидуальными целями лечения. Средства, которые будут хороши для одной собаки с коллапсом, могут полностью не подойти второй.
Чтобы понять, какие лекарства лучше всего использовать, нужно знать их главные отличия:
- Бронходилататоры. Препараты, которые устраняют спазмы и напряжение внутри диафрагмы, снижают общее давление в груди и трахее, расширяют общие просветы сосудов. Считаются основой консервативного лечения. Очень эффективны во время снятия и предотвращения приступов удушья. К такой группе можно отнести такие лекарства, как Тербуталин, Альбутерод, Теофиллин, Аминофиллин.
- Гормональные средства. Устраняют отёчность и воспаление в трахее, могут на долгое время устранить основные симптомы болезни. Врач назначает средства после мазка со слизистой гортани. Универсальным средством в этом случае станет Преднизолон.
- Противокашлевые средства — это наркотические типы анальгетиков, которые замедляют развитие кашлевого очага. Как правило, применяется в этом случае Бутарфанол и его аналог Гидрокадон. Сильно возбудимым собакам вместе с противокашлевыми могут быть назначены и седативные средства — Диазепам либо Ацепромазин.
Что происходит с собакой после операции

Время от времени стоит привозить собаку в ветеринарную клинику на эндоскопию и рентгенологическое обследование, чтобы внимательно следить за имплантом или стентом.

Вопрос-ответ
Какие симптомы указывают на пролапс трахеи у собаки?
Симптомы пролапса трахеи могут включать частый кашель, особенно при возбуждении или физической активности, затрудненное дыхание, свистящие звуки при вдохе и общее беспокойство животного. В некоторых случаях может наблюдаться цианоз (посинение) слизистых оболочек из-за недостатка кислорода.
Как диагностируется коллапс трахеи у собак?
Диагностика коллапса трахеи обычно включает физический осмотр ветеринаром, прослушивание дыхательных звуков и рентгенографию грудной клетки. В некоторых случаях может потребоваться бронхоскопия для визуализации трахеи и оценки степени коллапса.
Каковы основные методы лечения пролапса трахеи у собак?
Лечение пролапса трахеи может варьироваться в зависимости от степени тяжести состояния. В легких случаях могут быть рекомендованы изменения в образе жизни, такие как снижение физической активности и контроль веса. В более серьезных случаях могут быть назначены противовоспалительные препараты или даже хирургическое вмешательство для стабилизации трахеи.
Советы
СОВЕТ №1
Обратите внимание на симптомы: если ваша собака начинает часто кашлять, хрипеть или испытывает затруднения с дыханием, это может быть признаком пролапса трахеи. Не игнорируйте эти симптомы и как можно скорее обратитесь к ветеринару для диагностики.
СОВЕТ №2
Следите за весом вашей собаки: избыточный вес может усугубить состояние при пролапсе трахеи. Поддерживайте оптимальный вес вашего питомца с помощью сбалансированного питания и регулярных физических упражнений.
СОВЕТ №3
Избегайте раздражителей: дым, пыль и сильные запахи могут ухудшить состояние собаки с пролапсом трахеи. Создайте комфортную среду для вашего питомца, избегая мест с загрязненным воздухом и резкими запахами.
СОВЕТ №4
Следуйте рекомендациям ветеринара: если вашему питомцу назначено лечение или операция, строго придерживайтесь всех указаний ветеринара. Регулярные осмотры помогут контролировать состояние собаки и предотвратить осложнения.
Вживление имплантата — заменяется повреждённая область, при этом повторяется её анатомическая форма. Имплантат осуществляет поддержку нормального давления, но может повлечь за собой процесс отслаивания основного материала.